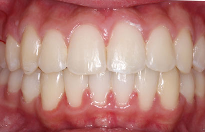
see our results
before & afters
Name
Anna Cross
Treatment:
Braces


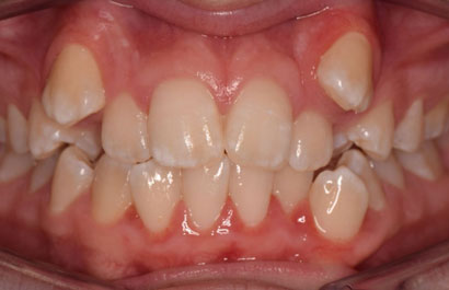
before & afters
Name
Amy Mullen
Treatment:
Braces


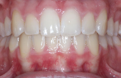
before & afters
Name
Cassandra Bauer
Treatment:
Braces


before & afters
Name
Caitlin Russell
Treatment:
Braces


before & afters
Name
Denika Sticklen
Treatment:
Braces


before & afters
Name
Gerard Donnelly
Treatment:
Braces


before & afters
Name
Kirralee Arnold
Treatment:
Braces


before & afters
Name
Kaycee Welk
Treatment:
Braces


before & afters
Name
Olivia Crawford
Treatment:
Braces


before & afters
Name
Oliver Warren
Treatment:
Braces


before & afters
Name
Ryan Dunshea
Treatment:
Braces


before & afters
Name
Samantha McVey
Treatment:
Braces


before & afters
Name
Tyler Hammill
Treatment:
Braces


before & afters
Name
Christopher Gerrard
Treatment:
Braces


before & afters
Name
Kian Fewings
Treatment:
Braces


before & afters
Name
Lucy Botterell
Treatment:
Braces


before & afters
Name
Aliza Walsh
Treatment:
Clear aligners


before & afters
Name
Chloe Cowen
Treatment:
Clear aligners


before & afters
Name
Hannah Hamill
Treatment:
Clear aligners


before & afters
Name
Jesse Ball
Treatment:
Clear aligners


before & afters
Name
Jesse Chapman
Treatment:
Clear aligners


before & afters
Name
Myles Moore
Treatment:
Clear aligners


before & afters
Name
Sara Thornberry
Treatment:
Clear aligners


before & afters
Name
Zye Norris
Treatment:
Clear aligners

